Clínica dental enfocada en rehabilitación oral, ortodoncia e implantología. Atención de especialistas, tecnología digital y un ambiente pensado para usted.

Contamos con equipo de especialistas en las áreas más demandadas de la odontología moderna.
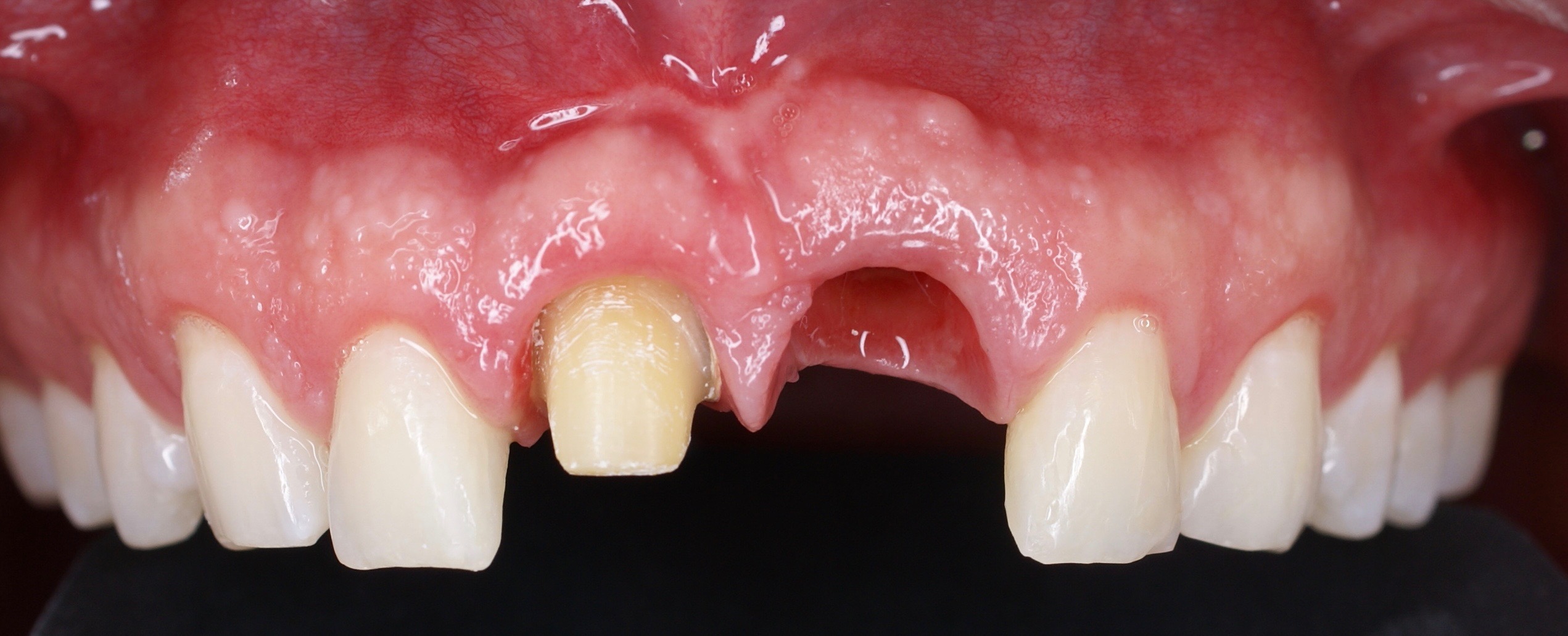
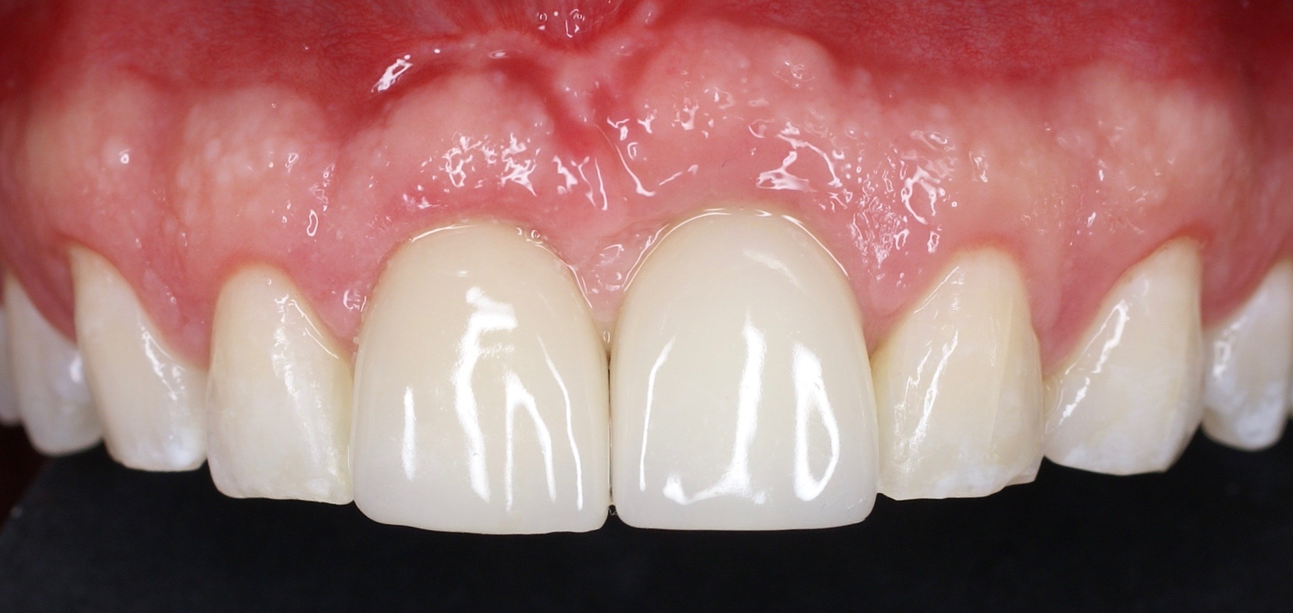
Carillas, coronas, puentes e incrustaciones con laboratorio premium.
Planificación digital, cirugía guiada y marcas líderes mundiales.
Brackets convencionales y alineadores invisibles.
Tratamientos de conducto con microscopía y especialista.
Salud de encías, injertos y mantenimiento.
Extracciones, cordales y cirugías menores.
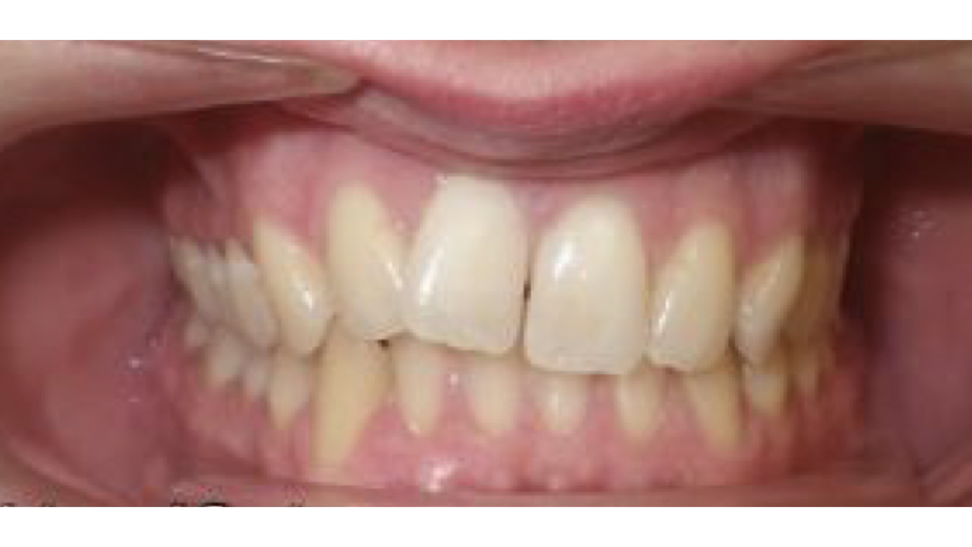
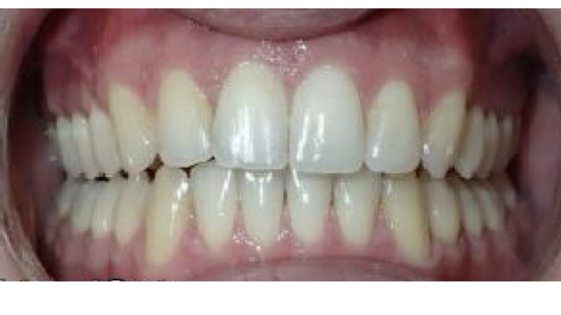
Pase el cursor sobre cada caso para ver el resultado.
























Primera consulta sin compromiso. Le damos el diagnóstico, el plan y las opciones.